Die neusten Beiträge

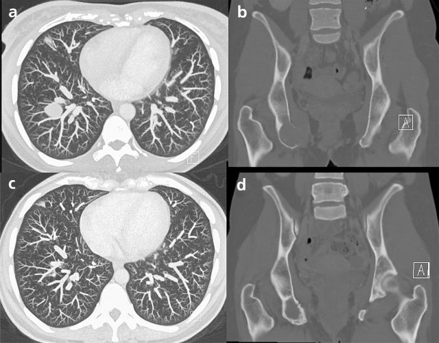
Immuntherapie zeigt größere Erfolge bei seltenem Nierenkrebs

🔒 Belzutifan: Neue Option fürs Nierenzellkarzinom und Von-Hippel-Lindau-Syndrom

Was gibt es Neues in der Therapie des nicht-klarzelligen Nierenzellkarzinoms

Systemtherapien beim metastasierten nicht-klarzelligen Nierenzellkarzinom

CRP-Kinetik sagt das Immuntherapieansprechen beim metastasierten Nierenzell- und Urothelkarzinom voraus

ASCO 2022: Nivolumab/Cabozantinib mit besserem objektiven Ansprechen bei fortgeschrittenem RCC assoziiert
