Die neusten Beiträge

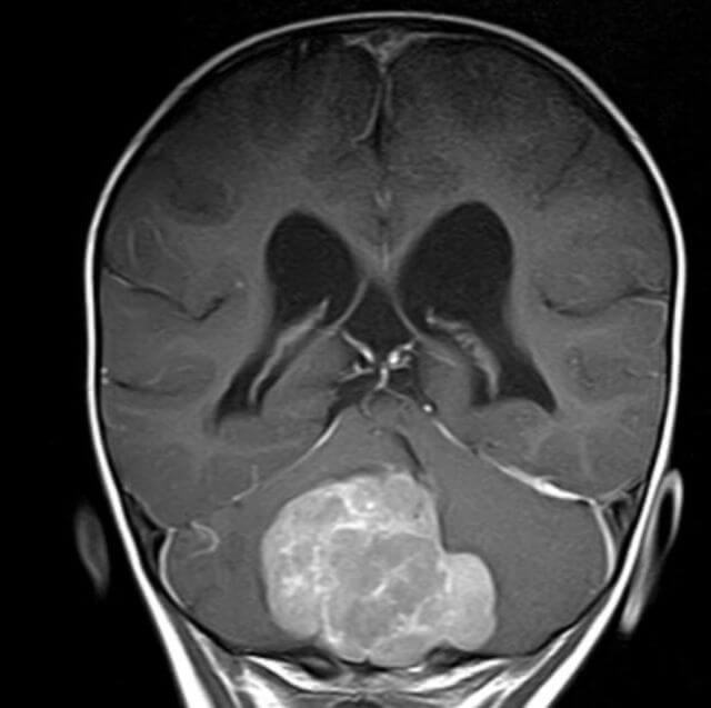
Neue Behandlungsmöglichkeit für kindliche Hirntumore

Glioblastome und ihre neuronalen Netzwerke: Neue Erkenntnisse bieten Ansatzpunkte für Therapien

Überraschender Fund bei Glioblastomen: Inseln potenter Abwehrzellen im lokalen Knochenmark

Hirntumoren im Fokus: Interview mit Prof. Dr. Peter Hau vom UKR

Weniger Schmerzen bei Metastasen in der Wirbelsäule durch Präzisions-Strahlentherapie

Hirntumoren bei Kindern: Krebszellen werden auf ihrer Wanderung im Tumor weniger aggressiv

Blockieren eines Eiweißmoleküls macht aggressive Hirntumoren sensibler für Strahlen- und Chemotherapie
