Quelle und Bildquellen: © Aus UroForum, Heft 07/2023
Michael Schardt
Die CT-Untersuchung (CT-US) bleibt für viele Urologen die einzige Möglichkeit, Harnleitersteine mit Harnstauungsniere zu diagnostizieren. In unserer Serie von 295 Patienten können wir aufzeigen, dass primär durch die Retroperitonealsonographie die Harnleitersteine auch mit geringer Ektasie des Harnleiters gesichert werden können und erst sekundär eine low-dose-CT-US durchgeführt werden sollte.
Durch ein low-dose- oder Nativ-CT vom Abdomen können neben den Kelchsteinen die Harnleitersteine sehr sicher nachgewiesen oder ausgeschlossen werden. Durch die immer besser werdenden Sonographiegeräte lassen sich allerdings auch bei geringen Aufweitungen die Ursachen der Obstruktionsstörung des oberen Harntraktes finden. Die Kindernephrologen und Kinderradiologen versuchen schon seit längerem, auf radiologische Diagnostik am oberen Harntrakt zu verzichten, da hier die Strahlenbelastung noch mehr Bedeutung hat. Auch für die Erwachsenenurologie sollte die Reduzierung der Strahlenbelastung bei der Abklärung der Harnstauungsniere ein Argument sein.
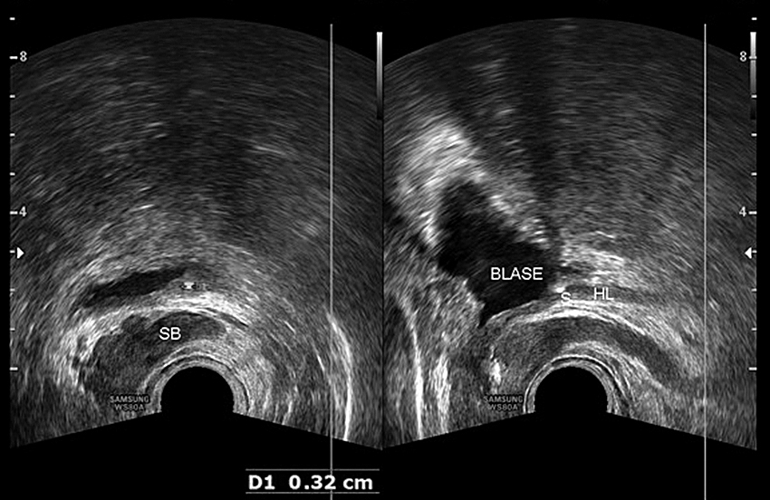
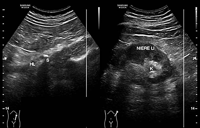
Bei den distal-prävesikalen Steinen hat der transrektale Ultraschall schon längere Zeit seine Bedeutung gefunden, allerdings nur bei wenigen Untersuchern. Bei Frauen eignet sich dazu der transvaginale Schall, der den Harnleiter bis zur Gefäßkreuzung verfolgen und den erweiterten Harnleiter komplett mit dem transabdominalen Schall auf eine Steinobstruktion untersuchen lässt. In der gynäkologischen Abteilung steht mir seit 2/2017 ein high-end-Sonogerät der Fa. Samsung WS80A zur Verfügung.
Point-of-care-Ultraschall
In der Notaufnahme der Asklepios Klinik Lindau wird der Kolikpatient zunächst eines Ultraschalls durch den chirurgischen oder internistischen Dienst unterzogen. Die Asklepios-Klinik Lindau ist ein Krankenhaus der Akutversorgung mit etwa 100 stationären Betten. Die Urologie wird von mir alleinig im Konsiliar-/Belegarztsystem betreut. Bei typ. Nierenkolik mit Harnstauungsniere und Mikrohämaturie werde ich meist schon vor einer möglichen CT-US hinzugezogen, v. a bei jüngeren Patienten, um eine Strahlenbelastung zu vermeiden.

Bei der urologischen Vorstellung durch den ärztlichen Diensthabenden wird der Urinstatus, Entzündungsparameter oder Sespsiszeichen und die Schmerzlokalisation von meiner Seite abgefragt.
Da bei unklaren Unterbauchschmerzen auch ohne urologische Rücksprache eine CT-US mit KM von Seiten der Allgemeinchirurgen veranlasst wird, liegt die Häufigkeit der CT-US noch bei > 50 %, obwohl die Steinlokalisation bei > 90 % auch ohne Wissen des CT-Befundes sonographisch erfasst werden konnte.
Durch Ultrschall-live-streaming, wie sie bereits mit SonoSync durch die Fa. Samsung angeboten wird, könnte bei der online-Ultraschalluntersuchung ein erfahrener Kollege ortsunabhängig auf die Untersuchung zugeschaltet werden und so in der Diagnostik gestärkt werden. In der pädiatrischen Sonographie der Kindernephrologie Uni Essen wird dies bereits praktiziert (mündliche Angaben von Dr. Metin Cetiner, SWDGU 2023, Reutlingen).
Material und Methodik
Bei den 295 stationären Patienten mit Nierenkoliken hatten 111 Patienten einen proximalen Stein, bei 184 Patienten wurde der Stein distal der Gefäßkreuzung gesichert. Bei den prävesikalen Steinen konnte in der transrektalen Sonographie der Stein bei den Männern in den letzten 3,5 cm sicher gesehen, in der vaginalen Sonographie der Harnleiter mit dem Stein teilweise bis zu den iliakalen Gefäßen verfolgt werden.
93 % der Patienten hatten eine Mikrohämaturie.
Zu 75 % konnte beim Erfragen der Beschwerdelokalisation oder Symptomatik der Stein im oberen oder unteren Harnleiter zugeordnet werden. Bei proximalen Steinen wurden die Flankenschmerzen bis periumbilikal und oberhalb des Beckenkamms angegeben; bei distalen Steinen lag der punctum maximum im Unterbauch, zusätzlich konnte eine Urgeblase oder Ausstrahlung in den Hoden vom Patienten beschrieben werden, wenn der Stein prävesikal oder intramural lag.


Ergebnisse
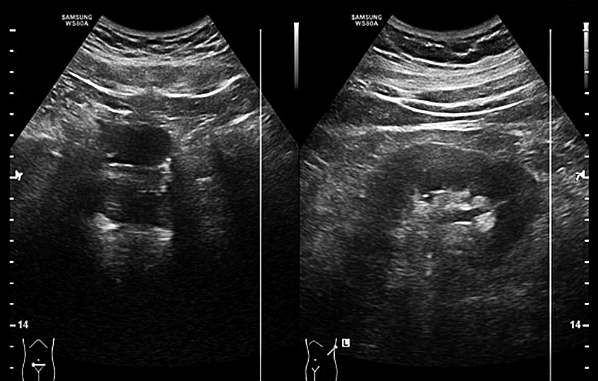
Bei den 111 Patienten mit proximalen Steinen konnten die Steine bei 102 Patienten (92 %) auch im Ultraschall gesehen werden. Bei 59 Patienten (53 %) war für die Steinsicherung kein CT angefordert worden. Bei den 184 Patienten mit distalen Harnleitersteinen wurde der Stein bei 171 Fällen (93 %) in der transrektalen/transvaginalen Sonographie verifiziert, bei 123 Patienten (66 %) wurde auf eine CT-US verzichtet. Fornixrupturen konnten bei den letzten 50 Patienten zu 22 % durch high-end-Geräte gesehen werden, immer ohne klinische Konsequenz; bei 6 Patienten wurde bei der Aufnahmeuntersuchung eine Urosepsis erkannt und durch die alleinige sonographische Steinsichtung rasch einer endoskopischen Steinsanierung zugeführt.
Schlussfolgerung
Der Ultraschall kann sehr erfolgreich in der Steinfindung bei Nierenkoliken mit Erweiterung des oberen Harntraktes eingesetzt werden. Intensivpflichtige Patienten können dadurch ohne aufwendigere CT-Untersuchung rasch einer Diagnostik und entsprechender Steinsanierung zugeführt werden. Steinabgänge v. a. bei distalen/prävesikalen Steinen können in der ambulanten Nachsorge durch den transrektalen oder transvaginalen Schall gesichert werden.

Korrespondenzadresse:
Dr. med. Michael Schardt
Facharzt für Urologie
Friedrichshafener Straße 82
88131 Lindau
praxis@uro-schardt.de



