Quelle und Bildquelle: © Aus UroForum, Heft 10/2023
Jürgen Pannek
Rückenmarksverletzungen führen meist zu einer neurogenen Blasenfunktionsstörung (NBFS), welche mit Sekundärfolgen wie Inkontinenz einhergehen kann. Dies beeinträchtigt massiv die Lebensqualität. Im Folgenden werden die Diagnostik und Möglichkeiten zur Therapie bei Frauen mit Rückenmarksläsionen beleuchtet und Resultate aus dem Schweizer Paraplegiker-Zentrum vorgestellt.
Rückenmarkverletzungen führen in aller Regel zu einer neurogenen Blasenfunktionsstörung (NBFS), deren Ausprägung von der Lokalisation und dem Ausmaß der zugrundeliegenden Störung abhängig sind. Bis heute ist eine Rückenmarkverletzung nicht kurativ behandelbar. Daher liegt der Behandlungsfokus auf der Vermeidung von Sekundärkomplikationen und auf dem bestmöglichen Erhalt der Lebensqualität (QoL). Eine NBFS kann durch die Kombination einer Detrusorüberaktivität und einer Detrusor-Sphinkter-Dyssynergie mittelfristig eine Schädigung des oberen Harntrakts bedingen. Daneben existieren verschiedene andere Sekundärfolgen, die nicht unmittelbar vital bedrohlich sind, aber die QoL der Betroffenen massiv beeinträchtigen können, wie z.B. rezidivierende Harnwegsinfekte oder Inkontinenz.
Diagnostik der Inkontinenz
Häufig ist der unwillkürliche Urinverlust bei Personen mit NBFS mit einer Detrusorüberaktivität assoziiert, daneben ist eine intrinsische Sphinkter-/Beckenbodeninsuffizienz oft Ursache einer neurogenen Belastungsinkontinenz. Während bei Personen ohne NBFS nach einer Basisdiagnostik eine probatorische konservative Inkontinenztherapie möglich ist, muss bei Personen mit NBFS vor Therapie mittels urodynamischer Untersuchung (Video-Urodynamik) eine Detrusorüberaktivität als Ursache der Inkontinenz ausgeschlossen werden.
Therapie der Belastungsinkontinenz bei Frauen
Während laut AWMF-Leitlinien [1] bei Frauen ohne zugrunde liegende neurologische Erkrankung verschiedene konservative medikamentöse (Östrogene, Duloxetin) und nicht medikamentöse (Physiotherapie, Elektrostimulation, Biofeedback, Verhaltenstherapie, Pessare) Behandlungsoptionen zur Therapie der Belastungsinkontinenz vor einer operativen Intervention zur Verfügung stehen, sind konservative Therapien bei Frauen mit NBFS deutlich weniger erfolgversprechend. So sind die Erfolge des Beckenbodentrainings und des Biofeedbacks durch die modifizierte Innervation als Folge der neurologischen Grunderkrankung limitiert; bei kompletter Querschnittlähmung z. B. ist eine aktive Therapie des Beckenbodens ebenso wenig möglich wie ein gezielter Muskelaufbau.
Operative Therapie
Vorabklärungen
Generell hat auch die operative Therapie der Belastungsinkontinenz bei Patientinnen mit NBFS besondere Herausforderungen. Die lähmungsbedingt veränderte Gewebetrophik, Durchblutung und Innervation erhöhen das Risiko für Wundheilungsstörungen und für Arrosionen, besonders bei Verwendung von alloplastischem Material. Patientinnen mit NBFS, welche die Blase aufgrund des insuffizienten Beckenbodens präoperativ mittels Pressmiktion entleert haben, müssen in aller Regel postoperativ den intermittierenden Selbstkatheterismus etablieren. Dies sollte dezidiert besprochen und der Selbstkatheterismus präoperativ getestet werden.
Resultate
Eine aktuelle Meta-Analyse analysierte die publizierten Daten zur operativen Therapie der Belastungsinkontinenz bei Patientinnen mit NBFS. In den analysierten Studien wurden insgesamt 852 Patientinnen therapiert. Das mediane Follow-up war hierbei sehr unterschiedlich und lag zwischen 7,5–120 Monaten. Die häufigste beschriebene Technik war der artifizielle Sphinkter. Sowohl autologe als auch synthetische Schlingen wurden deutlich häufiger evaluiert als adjustierbare Systeme, wie z. B. das Pro-ACT, oder bulking agents. Für diese letztgenannten Verfahren liegen extrem wenige Daten vor. Die in dem zitierten Review beschriebene kumulierte Kontinenzrate nach einer Schlingenoperation betrug 87 %; der höheren Kontinenzrate beim artifiziellen Sphinkter steht eine Arrosionsrate von 41 % bei Frauen gegenüber [2]. Bei der Mehrzahl der in dem systematischen Review analysierten Arbeiten handelt es sich um Fallserien, teils retrospektiv und oft mit kleinen Fallzahlen. Daher möchte ich im Folgenden kurz die Daten der eigenen Klinik vorstellen.
Eigene Resultate
Von dem Spektrum der operativen Behandlungsoptionen wurden am Schweizer Paraplegiker-Zentrum Nottwil suburethrale alloplastische Bänder, die Kolposuspension nach Burch, die Faszienzügelplastik und der artifizielle Sphinkter am Blasenhals verwendet; periurethrale Ballons wurden nicht verwendet, die Resultate mit verschiedenen bulking agents waren so wenig zufriedenstellend, dass wir diese Therapieoptionen nur sehr selektiv, z. B. bei multimorbiden Patientinnen mit dringlichem Behandlungswunsch, einsetzen.
Suburethrale alloplastische Bänder
In unserer Klinik wurden neun transobturatorische Bänder implantiert. Das mediane Alter der vier paraplegischen und fünf tetraplegischen Patientinnen betrug 45,1 Jahre. Lediglich 3 Patientinnen waren nach dem Eingriff kontinent oder berichteten über eine signifikant und zufriedenstellend verbesserte Inkontinenz. Bei einer Patientin kam es zu einer Harnröhrenarrosion. Aufgrund dieser nicht zufriedenstellenden Resultate wurde, auch aufgrund des potenziell erhöhten Risikos einer Arrosion oder Infektion nach Implantation von alloplastischen Schlingen bei Patientinnen, die ganz überwiegend die Blase mittels intermittierendem Selbstkatheterismus entleeren, dieses Verfahren an unserer Klinik nicht mehr eingesetzt [4].
Faszienzügelplastik
Als Alternative zu alloplastischen Bändern etablierte sich die Faszienzügelplastik. Die Auswertungen der klinischen Resultate bei 17 Frauen nach Faszienzügelplastik zeigte, dass nach einem medianen Follow-up von 40 Monaten 16 Frauen entweder komplett kontinent waren oder maximal eine Vorlage/Tag verwendeten (94 %). 2 Patientinnen entwickelten eine therapiepflichtige de-novo-Detrusorüberaktivität. Bei 6 Patientinnen traten postoperativ Komplikationen auf (35,3 %). Dabei wurde bei zwei Patientinnen eine Revision (Obstruktion bzw. Arrosion der Urethra) erforderlich; diese Revisionen führten nicht zum Verlust der Kontinenz. Somit war die Faszienzügelplastik in unserer Klinik eine wirksame Methode zur Behandlung der Belastungsinkontinenz mit einer akzeptablen Komplikationsrate [3].
Artifizieller Sphinkter
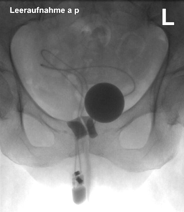
Bei 14 Frauen wurde ein artifizieller Sphinkter am Blasenhals implantiert. Nach einem medianen Follow-up von 95,9 Monaten waren 90,2 % kontinent; bei 5 Patientinnen wurden Revisionen notwendig (35,7 %). Ein Sphinkter musste wegen einer Harnröhrenarrosion explantiert werden (▶ Abb. 1 und 2) [5].


Diskussion
In unserer klinischen Praxis erwiesen sich suburethrale alloplastische Bänder als keine sinnvolle Option zur Therapie der Belastungsinkontinenz bei Frauen mit neurogener Blasenfunktionsstörung. Einer sehr geringen Kontinenzrate stehen signifikante Komplikationen gegenüber. Der artifizielle Sphinkter und die Faszienzügelplastik waren hinsichtlich Kontinenzraten und Komplikationen vergleichbar; beide Verfahren erwiesen sich als erfolgversprechende Therapieoptionen. Dabei muss jedoch berücksichtigt werden, dass es sich hierbei um einen historischen Vergleich und nicht um randomisierte Studien handelt. Ein artifizieller Sphinkter wurde tendenziell eher bei stärker ausgeprägter Belastungsinkontinenz implantiert, was einen Einfluss auf die direkte Vergleichbarkeit der Kontinenzraten hat. Der Eingriff einer Faszienzügelplastik ist im Vergleich zum artifiziellen Sphinkter am Blasenhals weniger invasiv, zudem wird kein alloplastisches Material verwendet. Allerdings ist eine massive Inkontinenz durch einen artifiziellen Sphinkter meist besser behandelbar als durch ein die Harnröhre komprimierendes Verfahren wie eine Faszienzügelplastik. So ist zumindest die in unserer Fallserie beschriebene postoperative Katheterisierungsproblematik auf die Notwendigkeit eines starken Zugs am Faszienzügel mit nachfolgender Deviation der Urethra zurückzuführen.
Auffällig ist die kleine Zahl an operativ versorgten Patientinnen mit NBFS und Belastungsinkontinenz. Sowohl in den hier näher vorgestellten Fallserien als auch in den für die zitierte systematische Übersicht verwendeten Studien war die Zahl der operierten Frauen recht gering. Es ließen sich keine systematisierten Untersuchungen hinsichtlich der Ursache für diese niedrige Operationsfrequenz finden. Die Anzahl der Betroffenen ist nicht geringer als bei Frauen ohne neurologische Grunderkrankung. Von unseren Patientinnen wird häufig keine operative Therapie der Inkontinenz gewünscht. Dabei werden als häufigster Grund genannt, dass man sich mit der Situation arrangiert habe. Bei einem Teil der Betroffenen sind Inkontinenzhilfsmittel bereits wegen einer ebenfalls bestehenden Stuhlinkontinenz notwendig, somit würde eine Beseitigung der Harninkontinenz nicht dazu führen, dass diese Hilfsmittel nicht mehr verwendet werden müssen; oft wir dabei die Stuhlinkontinenz als die belastendere Einschränkung wahrgenommen. Zudem werden von vielen Personen, vor allem mit langjähriger chronischer Rückenmarkschädigung, prinzipiell keine weiteren Operationen gewünscht, sofern diese nicht vital indiziert sind. Diese sicher nicht abschließende Auflistung von Gründen kann die geringe Inzidenz an operativen Eingriffen zumindest partiell erklären.
Die eigenen Erfahrungen mit bulking agents und Ballons sind so marginal, dass eine Bewertung anhand eigener Daten nicht möglich ist.
Unser Vorgehen ist im Einklang mit den relevanten existierenden Richtlinien. So empfehlen die Guidelines „Neuro-Urologie“ der European Association of Urology ein Stufenschema; eine autologe Schlingenplastik (Faszienzügelplastik) wird als first-line Option genannt; als Alternative werden synthetische Schlinge genannt. Bei Versagen dieser Therapieoptionen wird die Implantation eines Sphinkters empfohlen (▶ Tab. 1) [6].

Unabhängig vom verwendeten operativen Verfahren besteht nach Therapie der Belastungsinkontinenz das Risiko einer postoperativen de-novo-Detrusorüberaktivität. Dieses Risiko wird in der Literatur in 8 bis maximal 30 % der operierten Frauen angegeben. Besonders bei Patientinnen, bei denen kein primär a- oder hypokontraktiler Detrusor vorlag, sondern zunächst eine Therapie zur Suppression der Detrusorüberaktivität etabliert wurde, scheint dieses Risiko erhöht zu sein. Daher sind unabhängig vom klinischen Erfolg der Operation regelmässige video-urodynamische Kontrollen essenziell.

Korrespondenzadresse:
Prof. Jürgen Pannek
Chefarzt Neuro-Urologie
Schweizer Paraplegiker-Zentrum
Guido A. Zäch Strasse 1
CH – 6207 Nottwil
Schweiz
Tel.: + 41–41–939–5924
juergen.pannek@paraplegie.ch



