Max Götz, Xaver Krah
Primäre Karzinome der Harnröhre sind eine seltene Tumorentität. Sie machen weniger als 1 % urogenitaler Tumorerkrankungen aus. Wir berichten über den Fall eines klarzelligen Adenokarzinoms der Urethra einer Frau.
Eine Analyse der Datenbank der amerikanischen SEER (Surveillance, Epidemiology and End Results) von 1973 bis 2002 zeigt, dass die jährliche Inzidenz von 4,3 Fällen pro eine Million Männer bzw. 1,5 Fällen pro eine Million Frauen beträgt in den USA [1]. Das mittlere Alter bei Diagnosestellung beträgt etwa 60 Jahre für beide Geschlechter [2, 3]. Die Inzidenz nimmt mit zunehmendem Alter zu. Zudem ist ein häufigeres Auftreten bei Männern und bei Afroamerikanern zu beobachten [1]. Die Risikofaktoren sind geschlechterspezifisch. Bei Männern gehören Harnröhrenstrikturen (25–76 %), sexuell übertragbare Krankheiten (HPV) (24–50 %, ursächlich für etwa ein Drittel der Fälle) und Traumata (7 %) zu den Risikofaktoren [4]. Bei Frauen werden chronische Reizungen, Infektionen (einschließlich HPV), Divertikel, sexuelle Aktivität und die Geburt eines Kindes mit der Entwicklung von primären Tumoren der Harnröhre als ursächlich beschrieben [5].
Fallbericht
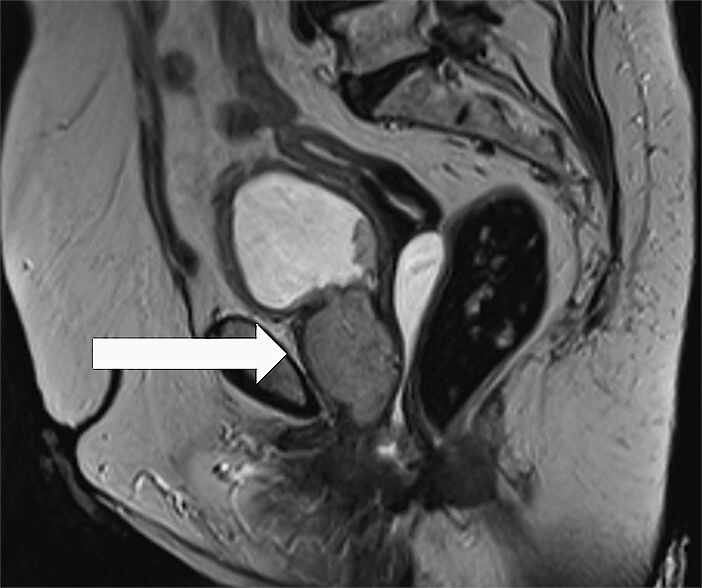
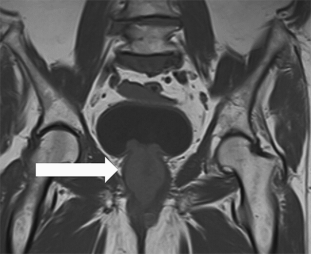
Eine 85-jährige Patientin stellte sich 08/2021 in unserer Klinik wegen einer schmerzlosen Makrohämaturie vor. Zystoskopisch zeigte sich ein Harnröhrentumor, der transurethral reseziert wurde. Histologisch wurde zunächst ein nephrogenes Adenom diagnostiziert. 11/2021 stellte sie sich wegen eines Harnverhalts und lokalen Tumorwachstums erneut bei uns vor. Es erfolgte zur Schonung des Kontinenzmechanismusses nur eine partielle transurethrale Resektion. Histologisch zeigte sich das vorbeschriebene nephrogene Adenom. Aufgrund der in der Literatur für diese Tumorentität beschriebenen hohen Rezidivrate besprachen wir das weitere Procedere in unserem interdisziplinären Tumorboard. Es wurde sich für eine möglichst komplette transurethrale Resektion bei bis dato benigner Erkrankung ausgesprochen. Im Vorfeld erfolgte eine MR-Bildgebung 01/2022 (▶ Abb. 1, 2). Dabei zeigte sich ein ausgedehnter zirkulärer Tumor, der auf der gesamten Länge der Urethra wuchs und den Blasenhals infiltrierte (Tumorausdehnung 4 x 3,3 x 6,6 cm mit deutlichem Kontrastenhancement der Tumormasse). Zudem wurde der Verdacht auf eine lokoregionäre Lymphknotenmetastase an der linken Scheidenwand (2,2 x 1,3 cm) geäußert.


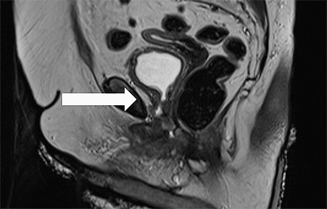
Nach erneuter Tumorboardbesprechung führten wir 01/2022 den Versuch einer TUR-Komplettresektion (40 g Resektatgewicht) durch. Histologisch ergab sich diesmal ein Tumor vom Müllerischen Typ im Sinne eines klarzelligen Karzinoms (ehemals mesonephrisches Adenokarzinom) pT1 pNx V0 L0 Pn0 RX. Eine MRT 03/2022 wies noch einen minimalen lokalen Restbefund nach (▶ Abb. 3).

Der darüber hinaus vorbeschriebene suspekte Lymphknoten vaginal links war allenfalls noch fraglich nachzuweisen. Insgesamt konnte in den folgenden -Untersuchungen eine Metastasierung ausgeschlossen werden. Die durch unser Tumorboard zwischenzeitlich empfohlene Exenteration wurde von der Patientin abgelehnt. Wir führten daraufhin 03/2022 eine nochmalige ausgedehnte transurethrale Nachresektion aus. Dabei bestätigte sich eine lokale Tumorfreiheit. Postoperativ wurde eine adjuvante Strahlentherapie mit insgesamt 45 Gy initiiert. Der ambulante Verdacht auf eine vesikovaginale Fistel konnte 11/2022 endoskopisch ausgeschlossen werden. Die Patientin befindet sich aktuell in regelmäßiger Tumornachsorge und ist bis dato rezidivfrei.
Zusammenfassung
Aufgrund der Seltenheit dieser Erkrankung gibt es keine etablierten Behandlungsstrategien. Chirurgie (lokale Exzision vs. Exenteration), Strahlen- und Chemotherapie sind beschriebene Optionen. Bei der Chemotherapie wird ein gutes Ansprechen auf cisplatinhaltige Arzneimittelkombinationen beobachtet. Bezüglich der chirurgischen Herangehensweise scheint die Lokalisation des Tumors (proximal vs. distal) für die Therapieentscheidung wichtig zu sein [6]. Trotz allem handelt es sich jedoch um eine aggressive Tumorentität mit schlechter Prognose und einer 5-Jahresüberlebensrate von ca. 30 %) [7]. Man sollte daher bei entsprechender Befundkonstellation Harnröhrentumore differentialdiagnostisch in Betracht ziehen und radikal behandeln.
Literatur und Bildquelle unter www.uroforum.de

Korrespondenzadresse:
Dr. med. Max Götz
Leitender Oberarzt Urologie und Oberarzt Palliativmedizin
Helios Klinik Blankenhain GmbH
Wirthstraße 5
99444 Blankenhain
Max.Goetz@helios-gesundheit.de



