Eine 26-jährige Patientin (Gravida: V, Para: IV, jeweils Spontanpartus) suchte in SSW 28 auf Grund von auffällig geringen Kindsbewegungen die offene Sprechstunde auf. Sie war aufgrund eines Verwandtenbesuchs nicht im Einzugsbereich ihres betreuenden Gynäkologen.
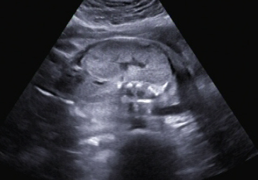
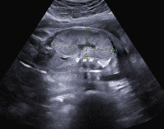
Ein zunächst durchgeführtes CTG war unauffällig. Im Rahmen der sonografischen Untersuchung zeigte sich der Fötus soweit beurteilbar zeitgerecht entwickelt. Dennoch konnte ein Anhydramnion festgestellt werden(Abb. 1, 2), weshalb auch kein fetales Gesicht darstellbar war (Abb. 3).



Im Abdomen war die Blase nicht gefüllt darstellbar (Abb. 4).



Die Nieren zeigten sich sehr stark vergrößert, beidseitig vollständig Abdomen füllend (Abb. 5, 6) und ohne Mark-Rinden-Differenzierung (Abb. 7–9). Die Lunge war hypoplastisch (Abb. 10)




Die Patientin wurde über die Ergebnisse der sonografischen Untersuchung aufgeklärt und gab an, dass bei letztem Ultraschall alles gut gewesen sei.
Dementsprechend erfolgte eine vollständige Einordnung des aktuellen Befundes sowie eine Aufklärung über die infauste Prognose und die Lebenschancen des Kindes nach der Geburt.
Die Patientin erwiderte hierauf, dass dies alles egal sei, sie wolle das Kind bekommen und sei optimistisch, dass diese Schwangerschaft – wie auch die vorangehenden Schwangerschaften und Geburten – gut verlaufen würde. Es sei ihr Kind und sie würde weitere medizinische Schritte unternehmen, soweit dies nötig werde.
Ihr wurde ein Arztbrief ausgehändigt und eine dringende Empfehlung zur baldigen Wiedervorstellung beim betreuenden Gynäkologen ausgesprochen.
Acht Wochen später erhielten wir den Geburtsbericht. Die Frau gebar spontan, der geborene Junge verstarb eine Stunde nach der Geburt.
Korrespondenzadresse:
Dr. med. Nasser Zahedi
Facharzt für Frauenheilkunde und Geburtshilfe
Hardenbergstraße 60
51373 Leverkusen
Tel.: +49 (0)214-64 131
Fax: +49 (0)214-61 90
drnzahedi@yahoo.de
Bilderquelle: © mgo-Fachverlage



