Eine Ampulle mit dem Medikament Durvalumab und einer Spritze auf blauem Hintergrund.

🔒 Durvalumab und Olaparib als Kombination reduziert Progressionsrisiko

Pharmaservice

Für Patientinnen mit primär fortgeschrittenen Endometriumkarzinom bleibt die Prognose ungünstig. Das relative 5-Jahres Überleben liegt bei etwa 52% im Stadium III und 22% im Stadium IV.

Onkologie

Gynäkologische Tumoren

Endometriumkarzinom

Beitrag lesen
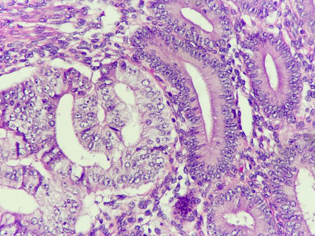
Foto von Gebärmutterkrebs links und normaler Gebärmutterdrüse rechts, Vergrößerung 400x

Umbruch in der Erstlinientherapie des Endometriumkarzinomrezidivs durch Immuncheckpoint-Inhibition

Fachartikel

Neue Erkenntnisse aus den Studien RUBY, NRG-GY018, AtTEnd und DUO-E bedeuten einen wichtigen Fortschritt in der Erstlinientherapie des rezidivierten bzw. primär fortgeschrittenen Endometriumkarzinoms. Die Hinzunahme der Immuncheckpoint-Inhibitoren (ICI) Dostarlimab, Pembrolizumab, Atezolizumab oder Durvalumab zur Standard-Chemotherapie mit Carboplatin und Paclitaxel verlängert das Überleben von Patientinnen – besonders bei Tumoren mit MismatchRepair-Defizienz (dMMR).

Onkologie

Gynäkologische Tumoren

Endometriumkarzinom

Beitrag lesen
Konzeptfoto über ENDOMETRIALKREBS Gebärmutterschleimhautkrebs mit handschriftlichem Satz.

🔒 Endometriumkarzinom: Zulassungserweiterung für Dostarlimab

News

Die Europäische Kommission hat die Zulassung für Dostarlimab plus Carboplatin-Paclitaxel auf alle erwachsenen Patientinnen mit primär fortgeschrittenem/rezidivierendem Endometriumkarzinom einschließlich MMRp/MSS-Tumoren ausgeweitet. Die kombinierte Behandlung führt im Vergleich zur alleinigen Chemotherapie zu einem deutlichen Überlebensvorteil.

Onkologie

Gynäkologische Tumoren

Endometriumkarzinom

Beitrag lesen

Die neusten Beiträge

Eine Ampulle mit dem Medikament Durvalumab und einer Spritze auf blauem Hintergrund.

🔒 Durvalumab und Olaparib als Kombination reduziert Progressionsrisiko

Pharmaservice

Für Patientinnen mit primär fortgeschrittenen Endometriumkarzinom bleibt die Prognose ungünstig. Das relative 5-Jahres Überleben liegt bei etwa 52% im Stadium III und 22% im Stadium IV.

Onkologie

Gynäkologische Tumoren

Endometriumkarzinom

Beitrag lesen
Foto von Gebärmutterkrebs links und normaler Gebärmutterdrüse rechts, Vergrößerung 400x

Umbruch in der Erstlinientherapie des Endometriumkarzinomrezidivs durch Immuncheckpoint-Inhibition

Fachartikel

Neue Erkenntnisse aus den Studien RUBY, NRG-GY018, AtTEnd und DUO-E bedeuten einen wichtigen Fortschritt in der Erstlinientherapie des rezidivierten bzw. primär fortgeschrittenen Endometriumkarzinoms. Die Hinzunahme der Immuncheckpoint-Inhibitoren (ICI) Dostarlimab, Pembrolizumab, Atezolizumab oder Durvalumab zur Standard-Chemotherapie mit Carboplatin und Paclitaxel verlängert das Überleben von Patientinnen – besonders bei Tumoren mit MismatchRepair-Defizienz (dMMR).

Onkologie

Gynäkologische Tumoren

Endometriumkarzinom

Beitrag lesen
Konzeptfoto über ENDOMETRIALKREBS Gebärmutterschleimhautkrebs mit handschriftlichem Satz.

🔒 Endometriumkarzinom: Zulassungserweiterung für Dostarlimab

News

Die Europäische Kommission hat die Zulassung für Dostarlimab plus Carboplatin-Paclitaxel auf alle erwachsenen Patientinnen mit primär fortgeschrittenem/rezidivierendem Endometriumkarzinom einschließlich MMRp/MSS-Tumoren ausgeweitet. Die kombinierte Behandlung führt im Vergleich zur alleinigen Chemotherapie zu einem deutlichen Überlebensvorteil.

Onkologie

Gynäkologische Tumoren

Endometriumkarzinom

Beitrag lesen